Zahnmedizin

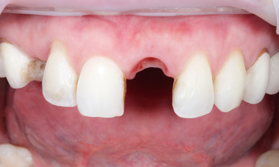
„Click & Go": Neuartiges Wurzelimplantat lässt sich stecken

Ein interdisziplinäres Team aus Ingenieuren, Medizinerinnen und Softwareentwicklern hat einen innovativen patientenspezifischen Zahnersatz geschaffen – und damit ein Verfahren entwickelt, das künftig Zahnimplantationen schonender, präziser und individueller machen soll.

© leroy / stock.adobe.com

Im Fokus – Fakten und Hintergründe

Arzt und Neu-Abgeordneter über die Kluft zwischen Politik und Ärzteschaft

„Diese Lücke ist ein zentrales Problem“

Zwischen politischer Wahrnehmung und Versorgungsalltag liegen gefühlt Welten: Während die Politik über Steuerung und Einsparungen debattiert, stoßen Praxen längst an ihre Grenzen. Dazwischen wächst das Unverständnis – auf beiden Seiten. Jens Steinat, Hausarzt und neu gewählter CDU-Landtagsabgeordneter in Baden-Württemberg, erklärt im änd-Interview, warum ihn genau das in die Politik geführt hat – und was sich ändern muss.

Reformkonzept vorgelegt

Stufenmodell setzt auf Regionen, Teamarbeit und digitale Steuerung

Die Primärversorgung in Deutschland steht vor einem tiefgreifenden Umbau. Eine aktuelle Analyse im Auftrag der SPD-nahen Friedrich-Ebert-Stiftung plädiert für ein verbindlich koordiniertes, multiprofessionelles System mit klarer regionaler Verantwortung. Zugleich dämpfen die Autoren Erwartungen an eine schnelle Umsetzung.

Zu viele Kassen in Deutschland?

„Wir sehen das aber einfach in den Daten nicht“

Ist die Zahl der Krankenkassen in Deutschland nach wie vor deutlich zu hoch? Aus der Ärzteschaft sind nach wie vor Forderungen nach weiteren Kassenfusionen zu hören. Nach dem Gutachten der FinanzKommission Gesundheit (FKG) scheint diese Debatte jedoch erst einmal am Ende – das zehnköpfige Expertenteam verweist unter anderem auf ein Nachbarland.

FKG-Vorsitzender Prof. Wolfgang Greiner:

"Die Honorare der Praxen werden weiter steigen"

Die Sparvorschläge der FinanzKommission Gesundheit (FKG) sind in der Ärzteschaft heftig diskutiert worden. Würde eine Umsetzung der Konzepte durch die Politik die Niedergelassenen unverhältnismäßig hart treffen – und müssten Patienten dann mit längeren Wartezeiten rechnen? Der änd bat den FKG-Vorsitzenden Prof. Dr. Wolfgang Greiner (Bielefeld) um eine Einschätzung.

Sparen mit Biss

Reformpläne für Zahnersatz und KFO stoßen auf Kritik

Nicht nur bei Fach- und Hausärzten wurden die Sparvorschläge der „FinanzKommission Gesundheit“ in dieser Woche intensiv diskutiert. Auch in der Zahnheilkunde raten die Wissenschaftler der Politik dazu, den Rotstift anzusetzen. Ein Überblick.

Niederlassungsförderung – Der änd-Überblick: Teil 1

Wer Zuschüsse bekommt, muss auch Pflichten erfüllen

Wer sich als Arzt oder Ärztin niederlassen möchte, kann dabei fast immer auf finanzielle Zuschüsse hoffen. Doch die sind nicht selten an Bedingungen geknüpft. Auch fallen sie von KV-Region zu KV-Region unterschiedlich üppig aus. Der änd gibt einen Überblick. Heute: Baden-Württemberg, Bayern, Rheinland-Pfalz und Hessen.

Neuer Gesetzentwurf

Elektronische Überweisung ab September 2029 verpflichtend

Bundesgesundheitsministerin Nina Warken will in Sachen Online-Überweisung offenbar Tempo machen: In einem neuen Gesetz soll die Umstellung verpflichtend festgeschrieben werden. Auch macht das Gesetz die ePA zur zentralen Datenplattform für Patienten.

änd-Umfrage

Kaum Vertrauen in die Reformfähigkeit der Politik

In den nächsten Monaten will die Bundesregierung diverse Reformvorhaben im Gesundheitsbereich umsetzen. Grund genug für den änd, die Niedergelassenen dazu zu befragen, ob sie den Gesundheitspolitikern hilfreiche Reformen überhaupt zutrauen: Rund 1.000 Ärztinnen und Ärzte beteiligten sich an der entsprechenden Erhebung – die ein alarmierendes Stimmungsbild zeigt.

Kolumne

KKZV statt HZV? – Die Not der Zauberlehrlinge

Was hat das geplante Primärarztsystem mit Goethe zu tun - und laufen die derzeitigen Pläne eventuell auf eine "Krankenkassenzentrierte Versorgung" (KKZV) hinaus? änd-Koluminst Dr. Matthias Soyka sorgt sich um das derzeitige politische Lieblingsthema Patientensteuerung.

Reaktion auf Sparvorschläge

KVen denken über härtere HVM-Regeln nach

Während die Politik über Einsparungen im Gesundheitswesen streitet, verlagert sich die Debatte in den Kassenärztlichen Vereinigungen. Der Honorarverteilungsmaßstab entwickelt sich dort zunehmend zu einem Steuerungsinstrument und Druckmittel. Einige KVen denken bereits darüber nach, unbezahlte Leistungen zu begrenzen.

SPD-Fraktionschef

Miersch fordert gesetzlichen Anspruch auf Facharzttermine

Facharzttermine oft erst nach Wochen? Der SPD-Fraktionschef will Schluss damit machen – und setzt dabei auf Druck bei der Ärztevergütung. Eine deutliche Antwort auf seine Vorschläge kommt postwendend von der KBV.

Gesetz zur Anerkennung ausländischer Ärzte

„Wir beenden den Papierwahn“

Die Anerkennung ausländischer Ärzte soll schneller gehen: Ein neues Gesetz setzt auf weniger Bürokratie und schnellere Verfahren. Und hofft, so den Fachkräftemangel zu lindern.

Digitale Gesundheitsanwendungen

Zahl freigeschalteter DiGAs steigt weiter stark an

Im vergangenen Jahr haben deutlich mehr Patienten „Apps auf Rezept“ genutzt als im Vorjahr. Der Interessenverband der DiGA-Hersteller drängt dennoch auf einen einfacheren Zugang zu den Anwendungen – und schlägt auch eine bessere Vergütung ärztlicher Leistungen vor.

DEGAM-Vize Roos:

„Digitale Ersteinschätzung muss in ein Versorgungssystem eingebettet sein“

Patientensteuerung allein durch eine Ersteinschätzungs-App? Das ist aus Sicht des DEGAM-Vize Professor Marco Roos ein Holzweg. Im Interview mit dem änd fordert er ein Gesamtkonzept für Primärversorgung, das digitale Ersteinschätzung mit Versorgungspfaden und einer Vergütungsreform verknüpft.

Ersteinschätzung

Ist SmED fit für die Primärversorgung?

Eine strukturierte Ersteinschätzung soll nach aktuellem Stand das Kernelement der Primärversorgung werden. Dabei ist immer wieder die Rede vom Ausbau der 116117, die mit SmED arbeitet. Doch was kann SmED, wie passt es in die Arztpraxis, und wo wird es die Hoffnungen der Politik enttäuschen? Der änd hat sich das Tool angesehen.

SpiFa-Fachärztetag

„Der EBM ist eine Rabattgebührenordnung“

Bremst der EBM Innovationen aus? Auf dem SpiFa-Fachärztetag in Berlin wurde genau darüber gestritten. Im Kern geht es um die Frage, ob das GKV-Vergütungssystem Fortschritt ermöglicht oder systematisch behindert.

PKV

Neue GOÄ kommt Anfang 2028

Die neue Gebührenordnung für Ärzte wird nach Einschätzung der Privaten Krankenversicherung zum 1. Januar 2028 in Kraft treten. PKV-Direktor Florian Reuther sieht das Gesundheitsministerium auf Kurs und verbindet mit der Reform vor allem bessere Voraussetzungen für Innovationen.

Hausärzteverband

„Zeit, dass die Kassen den Rotstift bei sich selbst ansetzen“

Etwas mehr als 90 gesetzliche Krankenkassen gibt es in Deutschland. Diese Zahl stellt Hausärzte-Chef Markus Blumenthal-Beier wegen des Kostendrucks im Gesundheitssystem infrage.

Neuanfang im Ausland

„Viele wollen einfach wieder Arzt sein dürfen“

Jedes Jahr entscheiden sich mehr als 600 deutsche Ärztinnen und Ärzte für einen Wechsel in die Schweiz. Der Berater Martin Werner von DocsGoSwiss begleitet diesen Schritt seit mehreren Jahren. Im änd-Interview erklärt er, warum sich viele Niedergelassene nach einem anderen Arbeitsalltag sehnen – und was sie beim Neustart häufig unterschätzen.

KI-gestützte Anwendungen

Wie Praxispersonal KI-kompetent wird

Wenn KI-gestützte Anwendungen in Arztpraxen eingesetzt werden, muss das Personal über bestimmte KI-Kompetenzen verfügen. Welche das sind, wie man sie erwirbt und was passieren kann, wenn man die Anforderungen ignoriert, erklärt Medizinrechtlerin Rebecca Mohr im Interview.

Meistgelesene Artikel