Kasuistik

15-jährige Patientin mit linksseitigem Brustschmerz

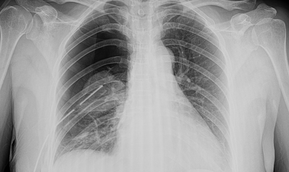
Eine 15-jährige, bislang gesunde Jugendliche klagt über seit zwei Wochen zunehmende linksseitige belastungsabhängige Brustschmerzen. Eine Infektion oder ein Trauma liegen nicht vor, auch familiäre Risikofaktoren bestehen nicht.

© SOPONE / stock.adobe.com

Im Fokus – Fakten und Hintergründe

Digitalisierung

Steiner: „Wir fordern ein Praxiszukunftsgesetz“

Bei der Weiterentwicklung der Digitalisierungsstrategie muss die Stabilität der Telematikinfrastruktur (TI) im Zentrum stehen. Zudem müssten hybride Prozesse durchdigitalisiert werden. KBV-Vorständin Dr. Sybille Steiner forderte am Rand der Vertreterversammlung auch ein Praxiszukunftsgesetz.

Gassen bei der KBV-VV

„Sparen wir uns doch einfach diese 43 Millionen Termine“

Bei den Niedergelassenen noch mehr sparen? Für KBV-Chef Dr. Andreas Gassen eine absurde Forderung. „13 Prozent der Termine im fachärztlichen Versorgungsbereich finden ohne Bezahlung statt“, betonte er bei der KBV-VV – und präsentierte einen Sparvorschlag der anderen Art.

Zi-Umfrage

Personalmangel ist Hauptgrund für Zögern bei der Niederlassung

Trotz Trend zur Teilzeitarbeit: Eine eigene Praxis ist für die meisten angestellten Ärztinnen und Ärzte durchaus eine Option. Doch insbesondere ein Problem lässt sie zögern.

Arbeitszeiterfassung

Erste Klage vor dem Arbeitsgericht gegen Uniklinik

Der Marburger Bund sieht erheblichen Verstöße gegen tarifvertragliche Vereinbarungen zur Arbeitszeiterfassung. Das erste Mitglied hat deshalb jetzt seinen Arbeitgeber verklagt: Ein Oberarzt zieht gegen die Uniklinik Greifswald vor Gericht.

Per Quereinstieg in die Hausarztpraxis

„Dieses System bietet viele Möglichkeiten für Leute, die Bock haben“

Vor acht Monaten haben Dr. Sven Kürten und Dr. Matthias Leiter einen deutlichen Cut in ihrem Berufsleben gemacht: Als allgemeinmedizinische Quereinsteiger haben die langjährigen Klinikärzte eine Hausarztpraxis übernommen. Über ihre Beweggründe hat der änd damals schon mit den beiden gesprochen – und fragt jetzt erneut nach: Wie ist es ihnen seitdem ergangen?

Praxissoftware

„Die Angst vor dem Wechsel ist oft größer als das reale Risiko“

Die Zahl der Praxissoftware-Anbieter wächst, zugleich steigt der politische Druck für mehr Transparenz und Interoperabilität. Dennoch bleibt der Softwarewechsel für viele Praxen eine Horrorvorstellung. Ein Gespräch mit KVWL-Vize Anke Richter-Scheer und KV-Bereichsleiter Jakob Scholz über Ängste, Rahmenbedingungen und praktische Tipps.

TI-Atlas 2025

Praxen nutzen die ePA breit, klagen aber über Stabilität

Mehr als zwei Drittel der Arztpraxen sind mit der Umsetzung der elektronischen Patientenakte in ihrer Praxissoftware zufrieden. Das geht aus ersten Ergebnissen des TI-Atlas 2025 hervor. Zugleich gaben nur 60 Prozent der Praxen, Apotheken und Krankenhäuser an, die ePa laufe stabil und zuverlässig.

Scharfe Kritik an SPD-Bereinigungsvorschlag

SpiFa macht seinem Ärger in Offenem Brief Luft

Der Vorschlag aus den Reihen der SPD, bei der ambulanten fachärztlichen Versorgung zu sparen, um die GKV finanziell zu entlasten, lässt der niedergelassenen Fachärzteschaft keine Ruhe. Der SpiFa lässt seinen Frust nun in einem Offenen Brief an die AG Gesundheit der SPD-Bundestagsfraktion raus.

Primärversorgungssystem

Warken sieht in Digitalisierung wichtigen Baustein

Bundesgesundheitsministerin Nina Warken will beim Aufbau eines Primärversorgungssystems verstärkt auf Digitalisierung setzen. Das hat die CDU-Politikerin bei der Digital Health Conference in Berlin betont. Sie versprach zudem, die Telematikinfrastruktur stabiler zu machen.

Notfallreform

Hofmeister: Die großen Streitpunkte sind geblieben

Dass die lange geplante Notfallreform endlich angegangen werden soll, sieht die KBV positiv. Dass aber nach wie vor an einem 24/7-aufsuchenden Notdienst festgehalten werden soll, kritisiert Vorstandsvize Hofmeister: „Dieses Personal haben wir nicht.“

HV Plus in Nordrhein

Genossenschaft hat Insolvenzantrag gestellt

Ab 2025 wollte die Genossenschaft HV Plus in Nordrhein jedes Quartal ein weiteres Medizinisches Versorgungszentrum eröffnen. Doch daraus wird erst einmal nichts. Stattdessen hat sie nun sogar Insolvenz beantragt. Warum? Das hat der Vorsitzende der Genossenschaft, Dr. Oliver Funken, dem änd erläutert.

Neue Vorhaltepauschale ab 2026:

„Wer nicht plant, riskiert ein böses Erwachen“

Ab Jahresbeginn 2026 greift die überarbeitete Vorhaltepauschale für Hausärztinnen und Hausärzte. Sie bringt neue Zuschläge, aber auch strenge Bedingungen und zusätzliche Prüfungen. Margaret Plückhahn, Praxisberaterin beim Virchowbund, warnt: Wer die neuen Regeln nicht gründlich vorbereitet, könnte bei der ersten Abrechnung böse überrascht werden.

BÄK

Neue GOÄ nicht „mit Erwartungen und Befürchtungen überladen“

Wann kommt die neue GOÄ? Schon im nächsten Jahr – oder frühestens 2027? Die Bundesärztekammer (BÄK) hat auf die Frage keine Antwort. Froh sei man aber, dass man bei der Politik überhaupt endlich auf offene Ohren gestoßen sei.

KV Westfalen-Lippe

„Wenn wir Delegation ernst nehmen, brauchen wir auch eine angemessene Finanzierung“

Die KV Westfalen-Lippe will mit einem neuen „Bezugspraxensystem“ den Teamgedanken in der ambulanten Versorgung stärken. Im Gespräch erklären Vorstandschef Dr. Dirk Spelmeyer und seine Stellvertreterin Anke Richter-Scheer, warum Delegation für sie der Schlüssel zur Zukunft ist – und was sich politisch, rechtlich und finanziell ändern muss, damit sie gelingt.

Streeck will Umdenken bei Versorgung Älterer

„Tot operiert“

Mit einer Aussage zu teuren Medikamenten für sehr alte Menschen hat der Drogenbeauftragte Streeck für Wirbel gesorgt. Die Bundesregierung distanziert sich. Nun legt der Gesundheitspolitiker nach.

BSI-Lagebericht

Gesundheitssektor ist bei Cyberangriffen am stärksten gefährdet

Cyberangriffe auf die kritische Infrastruktur treffen in erster Linie den Gesundheitsbereich. Das BSI fordert, die Angriffsflächen zu reduzieren. Das Schutzniveau der ePA bezeichnet Präsidentin Plattner aber als angemessen.

Warken zum Primärarztsystem

Wer ausschert, könnte bestraft werden

Was passiert eigentlich, wenn flächendeckend ein Primärarztsystem gilt und jemand trotzdem einfach so zum Facharzt geht, ohne zuvor in einer Hausarztpraxis vorstellig geworden zu sein? Die Bundesgesundheitsministerin gibt jetzt eine vage Richtung für solche Fälle vor.

Regress-Ranking

Diese Kasse macht den Ärzten das Leben besonders schwer

Flattert eine Regressforderung in die Praxis, kostet das viel Zeit und Nerven. Welche Kassen den Ärztinnen und Ärzten besonders viel abverlangen, zeigt das aktuelle Regress-Ranking der KV Rheinland-Pfalz.

Kolumne

Snooze, Pouches und Vapes – Nikotinsucht für Kinder

Die Diskussion um Nikotinkonsum konzentriert sich meist auf klassische Zigaretten, deren Risiken bekannt sind. Doch nahezu unbemerkt haben sich neue, für Jugendliche besonders attraktive Alternativen etabliert, warnt änd-Kolumnist Dr. Matthias Soyka - und fordert die Politik zum Handeln auf.

Zukunft der Versorgung

„Wir brauchen mehr Eigenverantwortung statt All-inclusive-Mentalität“

Digital, vor ambulant, vor stationär – mit dieser Formel skizzierte Virchowbund-Chef Heinrich die Zukunft der Patientensteuerung. Beim Verbandstreffen in Berlin diskutierten Ärzte und Politiker über die Vision eines digital gesteuerten Primärarztsystems – und über die Frage, wie viel Eigenverantwortung Patienten künftig zuzumuten ist.

Meistgelesene Artikel