Fallbericht

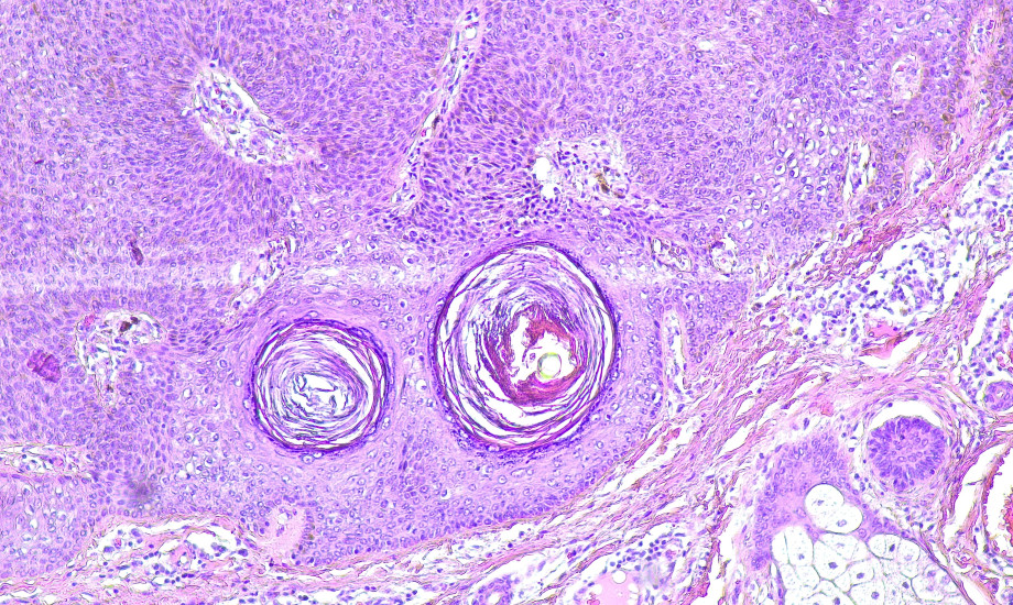
Riesige tumoröse Veränderung der Mamille

Eine Patientin entwickelt während ihrer Schwangerschaften eine sehr große, auffällige Läsion, die den gesamten Mamillen-Areolen-Komplex einnimmt und den Verdacht auf eine maligne Erkrankung weckt. Nach histologischer Aufarbeitung kann jedoch Entwarnung gegeben werden.

© DMH/stock.adobe.com

Im Fokus – Fakten und Hintergründe

Künstliche Intelligenz

„KI ist keine Institution, auf die Verantwortung abgeladen werden kann“

Wann können Ärzte Haftungsprobleme bekommen, wenn sie KI-gestützte Anwendungen einsetzen? Entscheidend bleiben dabei die Sorgfaltsmaßstäbe für den Arztberuf, sagt Prof. Dirk Heckmann, Experte für Digitalrecht. Bei den Kriterien für diese Maßstäbe solle das Bundesgesundheitsministerium für mehr Klarheit sorgen, fordert er.

BFAV-Chef Holler

"Dies ist ein gefährlicher Irrweg"

Der neu gewählte Chef des Bayerischen Facharztverbandes, Dr. Klaus Holler, geht mit den Reformbestrebungen der Politik hart ins Gericht: Sie sei weit davon entfernt, die echten Probleme im System mit der notwendigen Energie anzugehen. Was der HNO-Arzt aus Neutraubing konkret fordert, erklärte er im Gespräch mit dem änd.

Brief an Bundes­gesundheitsministerin

Kennedy kritisiert Deutschland wegen Corona-Verfahren – Warken wehrt sich

US-Gesundheitsminister Kennedy Jr. meldet sich mit harschen Attacken zur deutschen Politik infolge der Corona-Krise zu Wort – und erntet deutlichen Widerspruch aus Berlin.

Ökonom Drabinski:

Ohne echten Wechsel droht „faktische Systeminsolvenz“

Krankenhausreform, Primärarztsystem oder Arzneimittelkosten: Die derzeitigen politischen Debatten drehen sich in erster Linie um mehr Kosteneffizienz im Gesundheitssystem. Der eigentliche Elefant im Raum wird dabei jedoch weitgehend ausgeblendet, warnt der Kieler Gesundheitsökonom Prof. Thomas Drabinski.

Jahresausblick

Reinhardt attestiert GOÄ sehr gute Erfolgsaussichten für 2026

Im Jahr 2026 müssen entscheidende Weichen in der Gesundheitspolitik gestellt werden, fordert der Präsident der Bundesärztekammer (BÄK) Dr. Klaus Reinhardt. Mindestens drei große Reformvorhaben und die GOÄ müssen aus seiner Sicht deutlich vorankommen.

Niedersachsen

Drei Viertel der Regresse liegen unter 300 Euro

Die meisten Regressforderungen in Niedersachsen betreffen den sogenannten Sonstigen Schaden. In Einzelfällen forderten Krankenkassen mehr als 100.000 Euro zurück. Der änd schaut einmal genau auf die Zahlen.

Neuregelungen 2026

ePA, Sanktionen und Vorhaltepauschale – das gilt ab Januar

Mit Beginn des neuen Jahres treten einige Neuregelungen in Kraft. Ärzte müssen unter anderem künftig elektronische Patientenakten nicht nur haben, sondern auch befüllen, ePA-konforme Praxissoftware nutzen und sich auf eine neue Verschlüsselung in der TI einstellen.

Patientensteuerung

Reinhardt für Strukturreformen statt Kontaktgebühr

Bundesärztekammer-Präsident Reinhardt fordert grundlegende Strukturreformen im Gesundheitswesen. Auch um Regelungen zur Sterbehilfe und um Prävention müsse sich die Politik kümmern.

Jahresrückblick

„Wir haben einiges erreicht, aber…“

Wie ist das Jahr 2025 aus Sicht der Akteure im Gesundheitswesen gelaufen – und was muss 2026 geschehen? Der änd hat nachgefragt. Heute antwortet der Vorstand des HÄV.

Kolumne

Gute Zeiten im Palast

Die Krankenkassen klagen über leere Kassen. Doch bei Licht betrachtet sei das nur die aktuelle Hintergrundmusik, mit der die Kassenfunktionäre zum Jahreswechsel ihre üblichen Attacken gegen die Leistungsträger im Gesundheitswesen lancieren, meint änd-Kolumnist Dr. Matthias Soyka.

Service und Leistung

Verbraucherzentralen fordern Vergleichsportal für Krankenkassen

Zum Jahreswechsel werden mehrere Krankenkassen teurer. Doch es kommt nicht nur auf die Beiträge an. Wie gut sind andere Aspekte zu vergleichen?

Jahresrückblick

AOK-Chefin: „Die Hoffnung auf strukturelle Reformen ist schnell verflogen“

Eine neue Regierung, eine neue Gesundheitsministerin – aber die Probleme im Gesundheitswesen sind dieselben geblieben. Wie ist das Jahr 2025 aus Sicht der Akteure im Gesundheitswesen gelaufen – und was muss 2026 geschehen? Der änd hat nachgefragt. Heute: Dr. Carola Reimann, Vorstandsvorsitzende AOK-Bundesverband.

Kanzleramtschef

„Leistungen im Gesundheitssystem müssen entfallen“

Kanzleramtschef Frei will das Gesundheitssystem günstiger machen. Dafür müssten Leistungen gestrichen werden, sagt er. Welche Gründe er nennt.

Studie

Gesundheitswesen als Hotspot digitaler Veränderungen?

Die Deutschen erwarten in keinem Lebensbereich so starke digitale Umbrüche wie in Medizin und Versorgung. Das will der Digitalklimaindex 2025 herausgefunden haben. Gleichzeitig bleibt die Skepsis gegenüber KI, Videosprechstunden und Pflege-Robotik hoch.

Ökonomin für mehr Selbstbeteiligung

„Eine Praxisgebühr ist sinnvoll“

In der Diskussion um die Kassenbeiträge bringt die Vorsitzende der „Wirtschaftsweisen“ eine Praxisgebühr ins Gespräch. Es müsse auch über Therapien für eine bestimmte Gruppe beraten werden, sagt sie.

Erste Kopie der Patientenakte gratis

Bundestag folgt EuGH-Urteil

Nachdem der Europäische Gerichtshof (EuGH) 2023 klargestellt hat, dass Patientinnen und Patienten Anspruch auf eine kostenlose Kopie ihrer Behandlungsakte haben, hat der Bundestag ihn nun auch im nationalen Recht verankert.

Bundesrat billigt Sparpaket

„Die finanzielle Lage der GKV ist dramatisch“

Mit deutlichen Worten zur Finanzlage der gesetzlichen Krankenversicherung hatte Bundesgesundheitsministerin Nina Warken im Bundesrat um Zustimmung für das umstrittene GKV-Sparpaket geworben. Nach einer kontroversen Debatte billigte die Länderkammer die Maßnahmen am Freitagnachmittag und stellte zugleich größere Reformen für die kommenden Jahre in Aussicht.

Digitalisierung im ländlichen Raum

„Aufgaben, die man einer Maschine übertragen kann, sollte man übertragen“

Investitionen in die Digitalisierung des Gesundheitswesens helfen bei der Daseinsvorsorge in ländlichen Regionen, ist ein in Kanada und Deutschland tätiger Mediziner überzeugt. Wichtig dabei: Die Lösungen müssen in regionale Strukturen eingebettet sein.

KVB fordert Kurswechsel

„Ohne Eigenbeteiligung geht es nicht weiter“

Die Kassenärztliche Vereinigung Bayerns kritisiert die Untätigkeit der Bundesregierung: Steigende stationäre Kosten, fehlende Patientensteuerung und ausufernde Leistungsversprechen gefährdeten die ambulante Versorgung. Die KV fordert ein Ende des „ungedeckelten Leistungsversprechens“ und mehr Eigenverantwortung der Patienten.

Kassenumfrage

Bekanntheit steigt, Nutzung noch ausbaufähig

Die Nutzung der elektronischen Patientenakte ist für Praxen seit rund zwei Monaten verpflichtend. In der Folge ist die Bekanntheit bei Patienten gestiegen. Allerdings nutzt weniger als ein Viertel von ihnen die ePA aktiv.