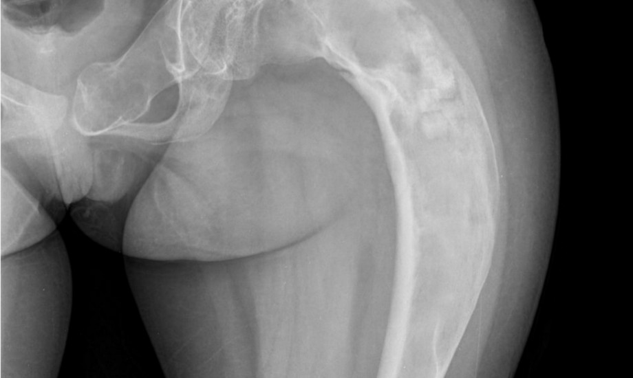
Fallstudie

McCune-Albright-Syndrom: Drei Kinder, drei Verläufe

Ein 9-jähriger Junge mit wiederholten Frakturen, ein 8-jähriges Mädchen mit vaginaler Blutung im Kindesalter und eine 7-Jährige mit zunächst einseitiger Brustentwicklung – drei Kinder, drei scheinbar unterschiedliche Leitsymptome. Doch hinter allen Fällen steckt die gleiche seltene Ursache.

© therads / stock.adobe.com

Im Fokus – Fakten und Hintergründe

Neuanfang im Ausland

„Viele wollen einfach wieder Arzt sein dürfen“

Jedes Jahr entscheiden sich mehr als 600 deutsche Ärztinnen und Ärzte für einen Wechsel in die Schweiz. Der Berater Martin Werner von DocsGoSwiss begleitet diesen Schritt seit mehreren Jahren. Im änd-Interview erklärt er, warum sich viele Niedergelassene nach einem anderen Arbeitsalltag sehnen – und was sie beim Neustart häufig unterschätzen.

KI-gestützte Anwendungen

Wie Praxispersonal KI-kompetent wird

Wenn KI-gestützte Anwendungen in Arztpraxen eingesetzt werden, muss das Personal über bestimmte KI-Kompetenzen verfügen. Welche das sind, wie man sie erwirbt und was passieren kann, wenn man die Anforderungen ignoriert, erklärt Medizinrechtlerin Rebecca Mohr im Interview.

KBV-Zahlen

Durchschnittsalter der Niedergelassenen bei über 54 Jahren

In den Praxen arbeiten immer mehr Ärztinnen und Ärzte – allerdings immer mehr nur in Teilzeit. Und: In den kommenden 20 Jahren werden 25.000 in Vollzeit tätige Ärztinnen und Ärzte altersbedingt ausscheiden.

Notfallreform

KV und AOK warnen vor starrem 24/7-Bereitschaftsdienst

Die geplante Pflicht zu einem flächendeckenden aufsuchenden Bereitschaftsdienst rund um die Uhr stößt in Bayern auf Kritik. Kassenärztliche Vereinigung und AOK plädieren für mehr regionale Flexibilität in der Notfallversorgung.

PwC-Healthcare-Barometer

Deutsche immer unzufriedener mit der ambulanten Versorgung

Immer weniger Bürgerinnen und Bürger sind mit der ärztlichen Versorgung zufrieden. Laut PwC-Healthcare-Barometer kritisieren viele vor allem zu wenig Zeit im Arzt-Patienten-Gespräch. Zugleich wächst die Sorge um die Finanzierbarkeit des Gesundheitssystems.

Warken

„Zusatzbeitrag mindestens stabil halten“

Bundesgesundheitsministerin Nina Warken will verhindern, dass die Zusatzbeiträge der GKV weiter steigen. Einsparungen sollen alle Bereiche des Gesundheitssystems betreffen – auch die Pharmaindustrie. Reformen soll es auch bei den Wirtschaftlichkeitsprüfungen geben.

Umgang mit Patientendaten

Datenschutzbeauftragte kritisiert Verhalten auf Social Media

Um ihre Leistungen zu vermarkten, nutzen Pflegekräfte, Ärzte und Therapeuten immer häufiger soziale Medien. Dabei begehen sie zunehmend Datenschutzverstöße, kritisiert die Landesbeauftragte in NRW.

Zahlen für 2025

MFA beliebteste Ausbildung bei Frauen

„Medizinische Fachangestellte“ war 2025 bei Frauen der beliebteste Ausbildungsberuf, zeigt eine aktuelle Auswertung des Bundesinstituts für Berufsbildung (BIBB). Auch bei Männern ist das Interesse an dieser Ausbildung gestiegen.

116117 im Jahr 2025

Zi: Hohe Vermittlungsquote, kurze Wartezeiten

1,84 Millionen erfolgreich vermittelte Termine, im Schnitt 8,6 Tage Wartezeit, über 90 Prozent innerhalb von vier Wochen – aktuelle Daten aus dem 116117-Terminservice zeichnen ein anderes Bild als die hitzige Debatte um Wartezeiten auf Facharzttermine. Das Zentralinstitut für die kassenärztliche Versorgung (Zi) warnt zugleich: Wer an den Vergütungsanreizen rüttelt, riskiert längere Wartezeiten in den Praxen.

Umfrage

Jeder Dritte hat Probleme bei Recherche zu Gesundheitsthemen

Wenn Bürger Antworten auf ihre Gesundheitsfragen suchen, recherchieren die meisten im Internet – und lassen sich dadurch häufig verunsichern, hat eine Umfrage ergeben.

Warken im Bundestag:

Auch Apotheken sollen in Primärversorgung eingebunden werden

Auch Apotheken sollen in die Primärversorgung eingebunden werden, sagte Bundesgesundheitsministerin Nina Warken. Im Bundestag erläuterte sie weitere Gesetzespläne.

Regressforderungen

Bundesgesundheits­ministerium bleibt bei Bagatellgrenze unverbindlich

Der CDU-Parteitag setzt sich für eine Bagatellgrenze bei Verordnungsprüfungen und Regressforderungen ein. Woran hakt das Vorhaben und wie groß ist die Regressgefahr wirklich? Der änd hat im BMG und bei einem Kassenarztrechtler nachgefragt.

Gefälschte Filme

Wie Ärzte Opfer von Deepfake-Videos werden

Betrüger erstellen mit KI Videos, in denen digitale Klone echter Ärzte Wundermittel anpreisen. Die Bundesärztekammer sieht darin eine Gefahr für das Vertrauen in Ärzte und den Patientenschutz – und fordert die Social-Media-Plattformen auf, die gefälschten Beiträge schneller zu entfernen.

Zi-Trendreport

292,3 Millionen Behandlungsfälle – Zi warnt vor Grenzen der Belastbarkeit

Im ersten Halbjahr 2025 sind 292,3 Millionen Behandlungsfälle in der ambulanten Versorgung dokumentiert worden. Das zeigt der aktuelle Trendreport des Zentralinstitut für die kassenärztliche Versorgung (Zi). Gegenüber dem Vorjahr sank die Zahl um 0,4 Prozent. Zi-Vorstandsvorsitzender Dr. Dominik von Stillfried warnte zugleich vor wachsenden Belastungen in den Praxen.

Nachgefragt bei den KVen

Was kann die 116117 leisten – und was nicht?

Die Politik hat Großes vor mit der Rufnummer 116117 der Kassenärztlichen Vereinigungen: Künftig sollen darüber nicht nur die Terminservicestellen, sondern auch sogenannte Akutleitstellen erreichbar sein. Aber ist die 116117-Struktur dafür überhaupt gewappnet? Der änd hat nachgefragt bei den KVen.

Entwurf soll im Sommer vorliegen

Warken plant Gesetz für Gesundheitswesen im Kriegsfall

Wie soll das Gesundheitssystem im Verteidigungsfall funktionieren? Ministerin Warken plant ein neues Gesetz für Krisen und will Schwachstellen gezielt angehen.

ePA

BMJV erarbeitet Klarstellung zu Beschlagnahmeverbot

Die Inhalte der elektronischen Patientenakte müssen vor Beschlagnahmung ausdrücklich geschützt werden. Eine entsprechende Forderung der Ärzteorganisationen scheint nun doch beim Justizministerium (BMJV) Gehör zu finden.

Urologie

Chatbot gegen „Dr. Google“-Verunsicherung

Ein Zusammenschluss von Urologen hat einen Chatbot entwickelt, der Nutzern eine Ersteinschätzung zu ihren Symptomen geben soll. Die Patienten sollen dadurch auch ein Gefühl dafür bekommen, wie dringlich ihr Anliegen ist.

Änderung am Bestellverfahren

Praxen müssen Corona-Impfstoffe bald über Apotheken ordern

Das Bestellverfahren für Covid-19-Impfstoff wird voraussichtlich zur nächsten Impfsaison umgestellt. Das hat die KBV bekanntgegeben.

GKV-Finanzierung

Reinhardt prangert Vielzahl der unkoordinierten Vorschläge an

Angesichts der unzähligen Vorschläge zur Rettung der GKV-Finanzen, die in den vergangenen Wochen durch die Schlagzeilen liefen, rät der Präsident der Bundesärztekammer (BÄK) zur Vollbremsung: Das Durcheinander verunsichere inzwischen die Patienten.

Meistgelesene Artikel