Pädiatrie

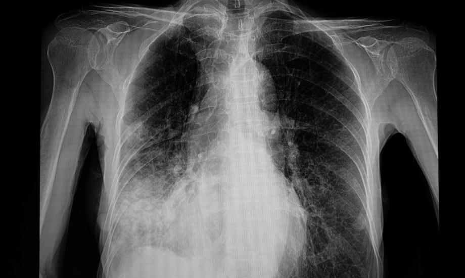
Was steuert Entscheidungen bei kindlicher Lungenentzündung?

Bei Verdacht auf eine Lungenentzündung entscheiden Ärztinnen und Ärzte oft über Röntgenbild und Antibiotika. Eine neue Studie zeigt, welche Befunde diese Schritte auslösen und wo Praxis und Theorie auseinandergehen.

© SOPONE / stock.adobe.com

Im Fokus – Fakten und Hintergründe

KV Westfalen-Lippe

„Wenn wir Delegation ernst nehmen, brauchen wir auch eine angemessene Finanzierung“

Die KV Westfalen-Lippe will mit einem neuen „Bezugspraxensystem“ den Teamgedanken in der ambulanten Versorgung stärken. Im Gespräch erklären Vorstandschef Dr. Dirk Spelmeyer und seine Stellvertreterin Anke Richter-Scheer, warum Delegation für sie der Schlüssel zur Zukunft ist – und was sich politisch, rechtlich und finanziell ändern muss, damit sie gelingt.

Streeck will Umdenken bei Versorgung Älterer

„Tot operiert“

Mit einer Aussage zu teuren Medikamenten für sehr alte Menschen hat der Drogenbeauftragte Streeck für Wirbel gesorgt. Die Bundesregierung distanziert sich. Nun legt der Gesundheitspolitiker nach.

BSI-Lagebericht

Gesundheitssektor ist bei Cyberangriffen am stärksten gefährdet

Cyberangriffe auf die kritische Infrastruktur treffen in erster Linie den Gesundheitsbereich. Das BSI fordert, die Angriffsflächen zu reduzieren. Das Schutzniveau der ePA bezeichnet Präsidentin Plattner aber als angemessen.

Warken zum Primärarztsystem

Wer ausschert, könnte bestraft werden

Was passiert eigentlich, wenn flächendeckend ein Primärarztsystem gilt und jemand trotzdem einfach so zum Facharzt geht, ohne zuvor in einer Hausarztpraxis vorstellig geworden zu sein? Die Bundesgesundheitsministerin gibt jetzt eine vage Richtung für solche Fälle vor.

Regress-Ranking

Diese Kasse macht den Ärzten das Leben besonders schwer

Flattert eine Regressforderung in die Praxis, kostet das viel Zeit und Nerven. Welche Kassen den Ärztinnen und Ärzten besonders viel abverlangen, zeigt das aktuelle Regress-Ranking der KV Rheinland-Pfalz.

Kolumne

Snooze, Pouches und Vapes – Nikotinsucht für Kinder

Die Diskussion um Nikotinkonsum konzentriert sich meist auf klassische Zigaretten, deren Risiken bekannt sind. Doch nahezu unbemerkt haben sich neue, für Jugendliche besonders attraktive Alternativen etabliert, warnt änd-Kolumnist Dr. Matthias Soyka - und fordert die Politik zum Handeln auf.

Zukunft der Versorgung

„Wir brauchen mehr Eigenverantwortung statt All-inclusive-Mentalität“

Digital, vor ambulant, vor stationär – mit dieser Formel skizzierte Virchowbund-Chef Heinrich die Zukunft der Patientensteuerung. Beim Verbandstreffen in Berlin diskutierten Ärzte und Politiker über die Vision eines digital gesteuerten Primärarztsystems – und über die Frage, wie viel Eigenverantwortung Patienten künftig zuzumuten ist.

Bundestag verabschiedet GKV-Sparpaket

„Diese Koalition streut den Menschen Sand in die Augen“

Der Bundestag hat das sogenannte BEEP-Gesetz verabschiedet und damit auch das GKV-Sparpaket aus dem BMG abgenickt. Ressortchefin Nina Warken war bei der Debatte im Parlament jedoch gar nicht anwesend – was die Opposition zum Anlass nahm, um höhnische Kommentare abzugeben.

Notfall- und Rettungsdienstreform

Gesundheitsleitstellen sollen erste Anlaufstelle werden

Ein Jahr nach ihrem Aus durch das vorzeitige Ende der Ampelkoalition nimmt die Notfallreform neue Fahrt auf. Für die neuen Strukturen soll auch Geld aus dem Infrastrukturpaket fließen, wie es nun aus Regierungskreisen heißt – allerdings nicht in die vertragsärztliche Akutversorgung.

ePA und KI

Gematik-Chef plädiert für Patientensteuerung mit KI

Ist die ePA erst dann ein Erfolg, wenn Patientinnen und Patienten sie aktiv nutzen oder verbessert sie die Versorgung ohnehin und, welche Rolle spielt KI dabei? Die Spitzen von Gematik und KVdigital sind da geteilter Meinung.

Wie weiter mit ePA, KI und Co.?

BMG legt Roadmap für Digitalisierungsstrategie 2.0 vor

Die Telematikinfrastruktur soll stabiler laufen. Das ist ein Ziel der Weiterentwicklung der Digitalisierungsstrategie des BMG. Unterabteilungsleiter Thomas Renner hat jetzt die Roadmap skizziert.

Urteil

Bundesverfassungs­gericht erklärt Triage-Regelungen für nichtig

Das Bundesverfassungsgericht hat die Triage-Regelungen im Infektionsschutzgesetz (IfSG) für nichtig erklärt. Der Bund habe für diese Vorschriften keine Gesetzgebungskompetenz.

Hartmannbund

Reinhardt bleibt Vorsitzender und unterstreicht den Wert der Freiberuflichkeit

Dr. Klaus Reinhardt bleibt Vorsitzender des Hartmannbundes. Die Delegierten der Hauptversammlung bestätigten ihn am Samstag mit großer Mehrheit im Amt. In seiner Ansprache machte Reinhardt deutlich, dass das Gesundheitssystem vor einem grundlegenden Wandel steht.

Brief an Bundesnetzagentur

KBV fordert Fristverlängerung für eHBA

Die Umstellung der Telematikinfrastruktur (TI) auf ein neues Verschlüsselungsverfahren bereitet der KBV Sorgen. Sie hat sich deshalb in einem Schreiben an Bundesnetzagentur-Präsident Klaus Müller gewandt und fordert eine Fristverlängerung für die Nutzung bestehender RSA-only-eHBA-Karten.

„Technische Effizienz“

Arztpraxen arbeiten laut Zi effizienter als Kliniken

Mehr Personal, aber weniger Fälle: Zwischen 2019 und 2023 hat sich die „technische Effizienz“ der stationären Versorgung laut Zentralinstitut für die kassenärztliche Versorgung (Zi) verschlechtert. In der vertragsärztlichen Versorgung zeige sich ein gegenteiliger Trend.

Falsche Diagnosen in der ePA

„Die KV kann keine Korrekturen vornehmen“

Dass immer mehr Patientinnen und Patienten in der elektronischen Patientenakte Diagnosen entdecken, die sie nicht verstehen oder einordnen können, sorgt für Schlagzeilen. Die Kassenärztliche Vereinigung im Südwesten (KVBW) versucht, die Presse nun über die Hintergründe aufzuklären.

Ipsos-Umfrage

Deutsche verlieren Vertrauen in Gesundheitssystem

Die Unzufriedenheit der Deutschen mit der medizinischen Versorgung wächst. Laut dem Ipsos Health Service Report 2025 hält weniger als die Hälfte das deutsche Gesundheitssystem noch für leistungsfähig. Viele empfinden es als überfordert, bürokratisch und schlecht vorbereitet auf die Zukunft. Parallel dazu steigt die Impfskepsis.

Bereitschaftsdienst-Reform

"Die Zeit bis zum ärztlichen Erstkontakt beträgt 5,4 Minuten"

Die Aussicht auf Bereitschaftsdienste macht das Arbeiten in der Praxis für den Nachwuchs nicht gerade attraktiver – und die erfahrenen Niedergelassenen machen angesichts der Dienste auch nicht gerade Freudensprünge. Die KV Niedersachsen will daher durch eine Neuausrichtung Entlastung schaffen.

Entbudgetierung

KV RLP warnt Hausärzte vor Leistungsausweitung

Entbudgetierte Leistungen können nicht beliebig häufig angesetzt werden: Darauf weist die KV Rheinland-Pfalz ihre Mitglieder hin. Plausibilitätsprüfungen und Begrenzungsregelungen des EBM blieben bestehen.

Interview

„Der direkte Gang zum Facharzt bringt in vielen Fällen keine Vorteile“

Ein sinnvolles Primärarztsystem mitzugestalten: Das sieht Prof. Eva Hummers als vorrangige Aufgabe ihrer Präsidentschaft. Der änd hat mit der neuen DEGAM-Präsidentin über Patientensteuerung, Delegation und Digitalisierung gesprochen.

Meistgelesene Artikel