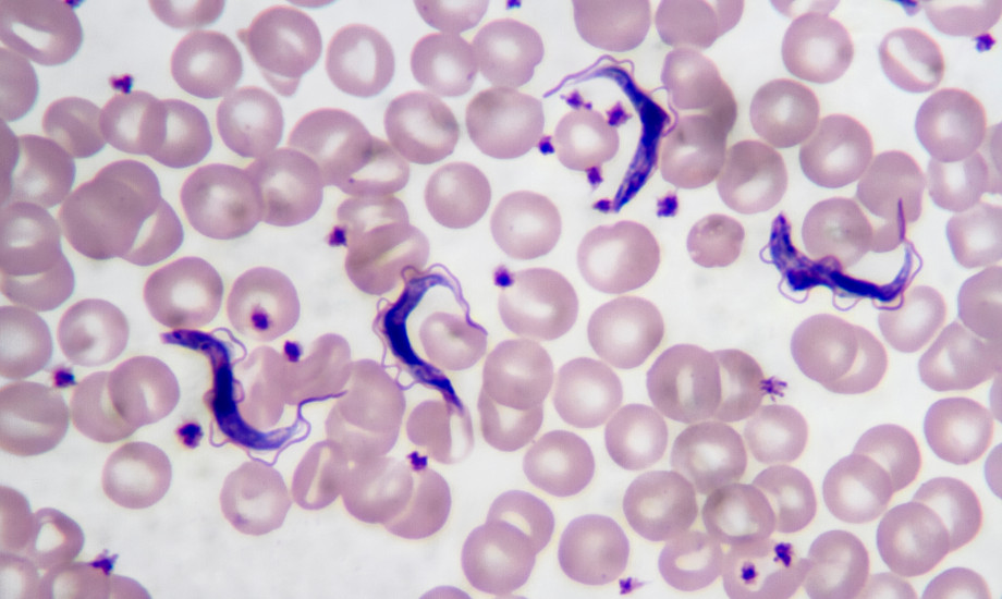
Kasuistik

Falsch-negatives Screening vor Herztransplantation hat Folgen

Ein Mann in seinen 60ern stellt sich 173 Tage nach Herztransplantation zur routinemäßigen Endomyokardbiopsie vor und fällt mit Fieber und Tachykardie auf. In den Tagen zuvor entwickelt er neben Schüttelfrost auch scharf begrenzte, kreisrunde erythematöse Plaques am Thorax.

© ggw / stock.adobe.com

Im Fokus – Fakten und Hintergründe

Rechnungshof:

Milliarden für Terminvermittlung bringen nichts

Zusätzliche Vergütungen zur Vermittlung von Facharztterminen sind umgehend abzuschaffen. Das fordert der Bundesrechnungshof in einem aktuellen Bericht. Sie hätten keine Wirkung – wie alle Vergütungsregelungen aus dem TSVG.

Sondertarife in der PKV

Wie Praxen Honorarverluste vermeiden

„Privatpatient“ klingt eindeutig – ist es in der Praxis aber oft nicht. Im Gespräch mit Rechtsanwältin Andrea Schannath, Justitiarin des Virchowbundes, zeigt sich schnell, wie viele Sonderregeln hinter diesem Begriff stecken können. Wer hier nicht genau hinschaut, verschenkt Honorar oder steuert direkt in Konflikte.

Zwischen Entlastungsversprechen und Praxisrealität

Online-Terminvergabe: Warum zögern so viele Praxen?

Digitale Terminvergabesysteme versprechen effizientere Abläufe und Entlastung, bleiben aber zumindest in vielen Praxen in Mecklenburg-Vorpommern die Ausnahme. Das zeigt eine Untersuchung der Ärztekammer Mecklenburg-Vorpommern.

2027 droht 12-Milliarden-Lücke in der GKV

DAK-Chef Storm spricht vom „letzten Warnschuss“

In der gesetzlichen Krankenversicherung (GKV) droht nach aktuellen Berechnungen des IGES Insituts bereits 2027 eine Finanzlücke von bis zu zwölf Milliarden Euro. DAK-Vorstandschef Andreas Storm forderte schnelle Reformen und präsentierte einen dreistufigen Stabilitätspakt für die GKV.

Stromausfall, Überschwemmung & Co.

Wie ein Praxisausfall kein Existenzproblem wird

Als Anfang Januar in Berlin der Strom ausfiel, standen viele Praxen still. Einnahmen brachen weg, während Fixkosten weiterliefen. Doch auch Wasserschäden, Brände oder die eigene Krankheit können den Betrieb zum Erliegen bringen. MLP-Finanzberater Michael Kersten erklärt, wie Praxen solche Ausfälle absichern und existenzielle Folgen vermeiden.

ePA-Sanktionen

KVen prüfen das Modul – nicht die Nutzung

Ab dem 1. Januar 2026 gilt: Ärztinnen und Ärzte, die die elektronische Patientenakte (ePA) nicht nutzen, müssen mit einer Kürzung der Vergütung rechnen. Was auf dem Papier wie eine hart sanktionierte Pflicht klingt, beschränkt sich im Grunde auf eine technische Formalität. Denn tatsächlich reicht es aus, das nötige Modul zu installieren. Eine Kontrolle der tatsächlichen Nutzung findet nicht statt.

Forderung nach Gesetzesänderung

Reicht künftig "Wahrscheinlichkeit" für Behandlungsfehler-Nachweis?

Patienten sollen es leichter haben, ärztliche Behandlungsfehler nachzuweisen. Das fordert der Patientenbeauftragte der Bundesregierung Stefan Schwartze (SPD). Er hat auch schon einen konkreten Vorschlag, wie das Patientenrechtegesetz dafür umgebaut werden könnte.

Praxissoftware

ZI veröffentlicht Vergleichsportal

Systemabstürze, schlechter Service: Die Unzufriedenheit mit der Praxissoftware ist vielerorts hoch. Das ZI hat daher nun ein interaktives PVS-Vergleichsportal online geschaltet, das wechselwilligen Ärztinnen und Ärzten Orientierung bieten soll.

Digitale Akte für Privatversicherte

Wie halten es die PKV-Unternehmen mit der ePA?

Die gesetzlichen Krankenkassen sind verpflichtet, ihren Versicherten eine elektronische Patientenakte anzulegen, für private Krankenversicherer gilt dieser Zwang nicht. Wie halten es die PKV-Unternehmen also mit der digitalen Akte? Der änd hat nachgefragt.

Telefonische Krankschreibung

Hausärzteverband attackiert KBV-Chef: „Absolut inakzeptabel“

Der Hausärzteverband kritisiert die Forderung von KBV-Chef Dr. Andreas Gassen, die Telefon-AU abzuschaffen. Der Verband spricht von einem „unglaublichen Vorgang“ und warnt vor einem Rückschritt bei einer der wenigen echten Entbürokratisierungen.

Digital-gestütztes Versorgungsangebot

„Wir brauchen genau solche Konstrukte“

In einem Dorf in Nordrhein-Westfalen ist im Herbst ein neuartiges Versorgungskonzept gestartet: Nicht-ärztliches Personal führt KI-gestützt das Anamnesegespräch, übernimmt Untersuchungen und leitet die Ergebnisse digital an Dr. Thomas Bandorski weiter. Im änd-Interview erklärt er, wie das Konzept genau funktioniert – und wo die Grenzen liegen.

Umfrage

Online-Buchung selten alleiniger Kanal – Praxen bleiben hybrid

Die Online-Terminvergabe ist auf dem Vormarsch: Schon rund die Hälfte der änd-Mitglieder bietet einen solchen Service den Patienten an – oder plant dies in Kürze. Ein Anbieter sticht dabei deutlich heraus.

BÄK warnt vor Diagnostik in Drogerien

„Gefährliche Deprofessionalisierung“

Gesundheitschecks zwischen Shampoo und Zahnpasta bergen Risiken, warnt die Bundesärztekammer und fordert klare gesetzliche Grenzen für medizinische Diagnostikangebote in Drogeriemärkten. Es drohe eine gefährliche Deprofessionalisierung.

Künstliche Intelligenz

„KI ist keine Institution, auf die Verantwortung abgeladen werden kann“

Wann können Ärzte Haftungsprobleme bekommen, wenn sie KI-gestützte Anwendungen einsetzen? Entscheidend bleiben dabei die Sorgfaltsmaßstäbe für den Arztberuf, sagt Prof. Dirk Heckmann, Experte für Digitalrecht. Bei den Kriterien für diese Maßstäbe solle das Bundesgesundheitsministerium für mehr Klarheit sorgen, fordert er.

BFAV-Chef Holler

"Dies ist ein gefährlicher Irrweg"

Der neu gewählte Chef des Bayerischen Facharztverbandes, Dr. Klaus Holler, geht mit den Reformbestrebungen der Politik hart ins Gericht: Sie sei weit davon entfernt, die echten Probleme im System mit der notwendigen Energie anzugehen. Was der HNO-Arzt aus Neutraubing konkret fordert, erklärte er im Gespräch mit dem änd.

Brief an Bundes­gesundheitsministerin

Kennedy kritisiert Deutschland wegen Corona-Verfahren – Warken wehrt sich

US-Gesundheitsminister Kennedy Jr. meldet sich mit harschen Attacken zur deutschen Politik infolge der Corona-Krise zu Wort – und erntet deutlichen Widerspruch aus Berlin.

Ökonom Drabinski:

Ohne echten Wechsel droht „faktische Systeminsolvenz“

Krankenhausreform, Primärarztsystem oder Arzneimittelkosten: Die derzeitigen politischen Debatten drehen sich in erster Linie um mehr Kosteneffizienz im Gesundheitssystem. Der eigentliche Elefant im Raum wird dabei jedoch weitgehend ausgeblendet, warnt der Kieler Gesundheitsökonom Prof. Thomas Drabinski.

Jahresausblick

Reinhardt attestiert GOÄ sehr gute Erfolgsaussichten für 2026

Im Jahr 2026 müssen entscheidende Weichen in der Gesundheitspolitik gestellt werden, fordert der Präsident der Bundesärztekammer (BÄK) Dr. Klaus Reinhardt. Mindestens drei große Reformvorhaben und die GOÄ müssen aus seiner Sicht deutlich vorankommen.

Niedersachsen

Drei Viertel der Regresse liegen unter 300 Euro

Die meisten Regressforderungen in Niedersachsen betreffen den sogenannten Sonstigen Schaden. In Einzelfällen forderten Krankenkassen mehr als 100.000 Euro zurück. Der änd schaut einmal genau auf die Zahlen.

Neuregelungen 2026

ePA, Sanktionen und Vorhaltepauschale – das gilt ab Januar

Mit Beginn des neuen Jahres treten einige Neuregelungen in Kraft. Ärzte müssen unter anderem künftig elektronische Patientenakten nicht nur haben, sondern auch befüllen, ePA-konforme Praxissoftware nutzen und sich auf eine neue Verschlüsselung in der TI einstellen.

Meistgelesene Artikel