Kasuistik

Patientin mit seltener Doppelinfektion der Haut

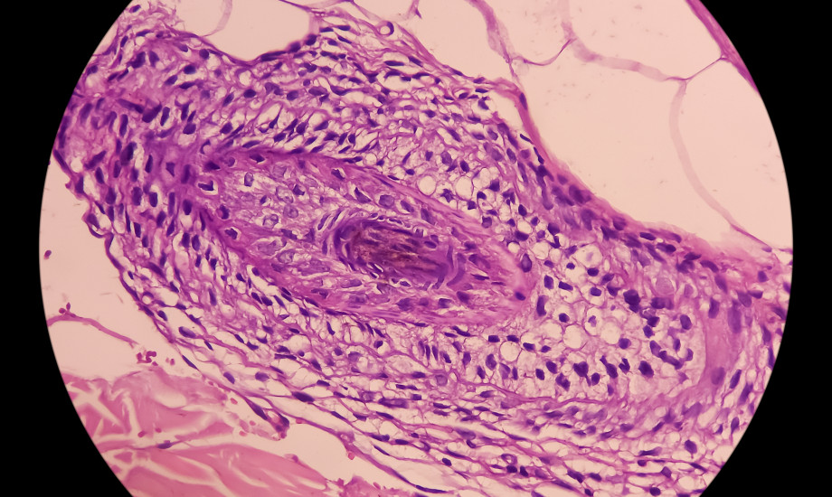
Eine Frau in ihren Vierzigern entwickelt vier Tage nach Beginn einer beidseitigen periorbitalen Rötung mit scharf begrenzten, eingekerbten Erosionen, begleitet von Schwindel und Kopfschmerzen, eine ungewöhnlich schwere Hautinfektion.

© MdBabul / stock.adobe.com

Im Fokus – Fakten und Hintergründe

Entbudgetierung

KV RLP warnt Hausärzte vor Leistungsausweitung

Entbudgetierte Leistungen können nicht beliebig häufig angesetzt werden: Darauf weist die KV Rheinland-Pfalz ihre Mitglieder hin. Plausibilitätsprüfungen und Begrenzungsregelungen des EBM blieben bestehen.

Interview

„Der direkte Gang zum Facharzt bringt in vielen Fällen keine Vorteile“

Ein sinnvolles Primärarztsystem mitzugestalten: Das sieht Prof. Eva Hummers als vorrangige Aufgabe ihrer Präsidentschaft. Der änd hat mit der neuen DEGAM-Präsidentin über Patientensteuerung, Delegation und Digitalisierung gesprochen.

Zukunft der Versorgung

„Wir haben genug Ressourcen im System“

Im Gesundheitssystem fehlt es grundsätzlich weder an Geld noch an Personal, meint Simone Borchardt. „Wir haben genug Ressourcen, wenn wir das System glattziehen können“, sagte die gesundheitspolitische Sprecherin der Union bei einer Diskussionsrunde.

GOÄ-Reform

Warken will Regelungsentwurf Mitte 2026 vorlegen

Die GOÄ-Reform soll jetzt in die Umsetzung gehen, kündigt Bundesgesundheitsministerin Warken an. Die BÄK feiert diese Nachricht: „Die Ministerin steht zu ihrem Wort“.

Praxisabgabe

Beraterin warnt vor Gefahr durch Personalmangel

Der Umstieg auf die elektronische Patientenakte (ePA) hat die Ärztinnen und Ärzte mancherorts Nerven gekostet. Doch gab es auch Niedergelassene, die den geplanten Verkauf der eigenen Praxis vorgezogen haben, um die Entwicklung nicht mitmachen zu müssen? Der änd fragte bei einer erfahrenen Beraterin auf dem Feld nach. Diese warnt vor einem anderen Problem.

Sachsens neuer KV-Chef Windau

„Ich halte es für populistisch, nur Schlagzeilen zu bedienen“

100 Tage nach Amtsantritt spricht Sachsens neue KV-Chef Dr. Stefan Windau über seinen Start in stürmischen Zeiten, neue Versorgungsmodelle in der Fläche, Grenzen der Entbudgetierung – und weshalb ein Primärarztsystem ohne belastbare Strukturen eher schadet als nützt.

Abrechnung

Drohen kleinen Praxen Probleme bei der Vorhaltepauschale?

Hausarztpraxen sollten sich auf die neue Vorhaltepauschale vorbereiten, die ab Januar greift. Dazu rät die Abrechnungsexpertin Sabine Finkmann. Vor besonderen Herausforderungen stehen nach ihrer Einschätzung kleinere Praxen und Schwerpunktpraxen.

Praxen im Jahr 2030

Wie sieht die Arztpraxis der Zukunft aus?

Das Gesundheitswesen steht vor enormen Veränderungen, was nicht nur am Kostendruck und den politischen Reformplänen liegt: KI, digitale Assistenten und automatisierte Prozesse halten Einzug in Arztpraxen und Kliniken. Wie wird die Arbeit in den Arztpraxen in fünf Jahren aussehen? Der änd fragte Vertreter aus Medizin, IT und Berufspolitik.

Kolumne

Comeback der Poliklinik- DDR-Nostalgie gegen Ärztemangel?

DDR-Romantik als Rezept gegen Ärztemangel? Brandenburgs Gesundheitsministerin Britta Müller (BSW) schwärmt von „Polikliniken de luxe“ . änd-Kolumnist Dr. Matthias Soyka erinnert daran, was die DDR wirklich gegen Ärztemangel unternahm – und warum Nostalgie keine Versorgung sichert.

Junge Landärztin zwischen Idealismus und Insolvenz-Angst

„Nach dem zweiten Kontakt arbeite ich praktisch ehrenamtlich“

Zwei Jahre nach der Niederlassung zieht die niedersächsische Hausärztin Lara-Sophie Beyer (31) eine ernüchternde Bilanz: Quartalspauschalen, Bürokratie und Regressangst prägen den Alltag. Im Gespräch mit dem änd erklärt sie, warum ihre Praxis anfangs an der wirtschaftlichen Kante lief, welche Rolle die KV spielte und was sich ändern müsste, damit sich das Landarztleben lohnt.

Warken finalisiert Apothekenreform

Die Änderungen im Überblick

Ministerin Warken will die „Kompetenzen von Apotheken besser für die Versorgung der Bevölkerung nutzen“: Das Ministerium hat die konkreten Gesetzespläne für eine Apothekenreform nun in die Ressortabstimmung gegeben. Nicht nur im Hinblick auf Impfungen sind Veränderungen vorgesehen.

GKV-Finanzierung

Budgetbereinigung scheint vorerst vom Tisch

Bleiben die Niedergelassenen diesmal wirklich von den Sparmaßnahmen zur kurzfristigen Sanierung der GKV-Finanzen verschont, oder legt Ministerin Warken noch einmal nach? Eine Veranstaltung des GKV-Spitzenverbands zeichnete ein genaueres Lagebild.

BÄK-Präsident Reinhardt

„Wir brauchen einen Solidarpakt für ein besseres Gesundheitssystem“

Die von Bundesgesundheitsministerin Nina Warken eingeleiteten Sparmaßnahmen können nach Meinung der Bundesärztekammer (BÄK) nur der Anfang tiefgreifender Reformen sein. Präsident Dr. Klaus Reinhardt forderte am Mittwoch in Berlin einen „Solidarpakt für ein besseres und bezahlbares Gesundheitssystem“.

Marburger-Bund-Chefin

Johna warnt vor „toxischer Arbeitskultur“ in Kliniken

Die Vorsitzende des Marburger Bunds, Dr. Susanne Johna, hat vor einer „toxischen Arbeitsumgebung“ in deutschen Kliniken gewarnt. Machtmissbrauch, Willkür und autoritäre Strukturen seien dort zu finden. Arbeitgeber, Ärztekammern und Länder müssten gegensteuern.

Ärzte im MVZ

Marburger Bund kurz vor Abschluss eines Tarifvertrages in Berlin

Macht ein MVZ-Tarifvertrag für angestellte Ärztinnen und Ärzte Sinn? Der Marburger Bund widmet sich diesem Thema seit einiger Zeit. In Berlin gehen nun sogar konkrete Verhandlungen mit einem Krankenhausträger in die entscheidende Phase.

HÄV-Vorstand im Petitionsausschuss

„Entbudgetierung ist nur ein Pflaster auf der Wunde“

Mehr als 600.000 Menschen haben die Petition zur Stärkung der hausärztlichen Versorgung des Hausärztinnen- und Hausärzteverbands unterzeichnet. Heute fand die Anhörung im Petitionsausschuss statt. Dabei wurde deutlich: Obwohl mit der Entbudgetierung schon eine zentrale Forderung umgesetzt wurde, ist der HÄV-Vorstand noch nicht zufrieden.

Vorschlag aus der KBV

Gassen will Krankschreibung erst ab Tag vier

Mehr Eigenverantwortung, weniger unnötige Praxis-Besuche: KBV-Chef Dr. Andreas Gassen möchte die Regeln zur Krankschreibung gelockert sehen. Das soll Arbeitnehmer, Eltern und Praxen entlasten.

Reformen

So will Warken steigende Kassenbeiträge verhindern

Bundesgesundheitsministerin Nina Warken setzt den Rotstift an: Um erneute Erhöhungen der GKV-Zusatzbeiträge im nächsten Jahr zu verhindern, plant die CDU-Politikerin Einsparungen in Höhe von insgesamt zwei Milliarden Euro. Insbesondere die Verwaltungskosten der Krankenkassen und die Budgets der Kliniken nimmt sie ins Visier.

Gematik erhöht Druck auf Hersteller

eHBA sollen bis Anfang Dezember ausgetauscht sein

Alte Verschlüsselungsverfahren laufen aus – und der Zeitplan ist eng. Ärztinnen und Ärzte sollen ihre elektronischen Heilberufsausweise möglichst bis Anfang Dezember austauschen. Die Gematik warnt vor Lieferengpässen und prüft Maßnahmen gegen säumige Hersteller.

Unternehmensberatung:

Defizit der Krankenkassen wird massiv steigen

Dass eine alternde Bevölkerung das Gesundheitswesen an seine Grenzen bringt, ist seit Jahrzehnten bekannt. Den Krankenkassen droht nach einer neuen Berechnung eine Kostenspirale großen Ausmaßes.

Meistgelesene Artikel